Genetická analýza QGEN
Genetické testování
Testy DNA, genetické testování a genetická analýza představují velice široký pojem. Zahrnuje nejrůznější vyšetřovací a detekční metody, které analyzují DNA, její dynamiku a regulaci nejen v buňkách lidského těla. Současná genetika poskytuje účinné nástroje ke studiu chromozomů, funkce jednotlivých genů a molekulární podstaty mechanizmů, které se podílí na komplexních procesech dědičnosti a proměnlivosti organizmů, ale také na rozvoji geneticky podmíněných onemocnění a chorob.
Izolace nukleových kyselin
Moderní genetická analýza je založená na analýze genetického materiálu v podobě DNA, RNA, mitochondriální DNA (mtDNA) nebo volné DNA (cfDNA). Princip izolace tohoto materiálu je až na menší specifika stejný. Standardní izolační kit váže nukleové kyseliny přítomné ve vzorku na kolonku, kde je DNA poté dále přečišťována a nakonec vymyta do stabilizačního roztoku. Výsledným produktem je již čistá DNA bez nežádoucí kontaminace jinými typy biomolekul.

Polymerázová řetězová reakce
End-point PCRPCR, jinak také polymerázová řetězová reakce, je nejspíš nejvíce používanou laboratorní metodou, která slouží k amplifikaci (namnožení) úseků DNA. Cílem této metody může být jak samotná detekce přítomnosti určité sekvence DNA, tak zmnožení konkrétního úseku, který je následně využit v dalších metodách. Principem je navržení a užití primerů neboli sond, tedy krátkých úseků DNA, které specificky rozeznají zvolenou sekvenci, před jejíž začátek a konec nasedají a tím ji označí pro polymerázu, která pak po zvýšení teploty nad požadovanou mez tento úsek zkopíruje do nově syntetizované molekuly a po snížení teploty odpadne. Celý tento cyklus je několikrát opakován, přičemž v dalších kolech cyklu primery s polymerázou nasedají a kopírují i nově nasyntetizované úseky. Nárůst počtu kopií kýženého úseku DNA probíhá geometrickou řadou.

Úseky DNA, produkty PCR nebo produkty štěpení DNA můžeme analyzovat pomocí separačních metod jako chromatografie nebo elektroforéza (ELFO). Elektroforetické dělení na agarózovém nebo akrylamidovém gelu patří mezi nejpoužívanější metody separace DNA. DNA nesoucí záporný náboj se pohybuje v jednosměrném elektrickém poli od katody k anodě. Gely tvoří poměrně hustou síť, kterou větší molekuly procházejí pomaleji než menší molekuly. Dochází tak k rozdělení fragmentů DNA o různé délce.

Kvantitativní polymerázová řetězová reakce (nejčastěji označovaná jako Real-time PCR nebo qPCR) je metoda založena na principu klasické PCR, umožňuje však kvantifikaci sledovaného úseku DNA. Na rozdíl od běžné PCR, kde se analyzuje až výsledný produkt (End-point PCR) pomocí elektroforézy v agaróze, je při Real-time PCR zaznamenáván každý cyklus PCR ve skutečném čase. Záznam amplifikace je založen na principu fluorescence, kdy se používají značené sondy (fluorescenční látky), které se váží specificky nebo nespecificky na amplifikované úseky DNA. Fluorescence a její intenzita je snímána během celé reakce a následně počítačově vyhodnocována. Naše laboratoř pro tuto metodu používá moderního přístroje PCR-cycleru StepOne Plus verze 2.0 od firmy Applied Biosystems.

Sekvenování
Sekvenování nebo také sekvenace je metoda určená ke čtení genetického kódu čili k determinaci primárního pořadí (sekvence) nukleotidových bází v dvouřetězci DNA. Neboť jde v současnosti ještě stále o velmi pracnou a časově i finančně náročnou metodu mapování genetického kódu, je využívána především pro specifické výzkumné účely, případně se její pomocí určuje přesná sekvence předem amplifikovaného úseku DNA (typicky jednoho pocházejícího z PCR reakce). Doposud je hojně praktikována Sangerova metoda, kdy je využita tzv. asymetrická PCR, tedy prodlužování nového DNA řetězce pouze v jednom směru, a to tak, že v reakční směsi je jeden z nukleotidových prekurzorů zastoupen zároveň v takové variantě, aby jeho zařazení do řetězce celou reakci automaticky zastavilo, a zároveň je tento nukleotid značený, obvykle fluorescenční próbou. Zatímco dříve bylo tuto metodu nutno provádět ve čtyřech zcela oddělených reakcích, dnes je již plně automatizována, čímž se značně snížila její pracnost a náročnost na čas. Naštěstí se v poslední době objevilo několik zcela nových metod, které dovolují řádově vyšší rychlost sekvenace a které souhrnně označujeme jako metody druhé generace (next generation sequencing). I tyto moderní metody sekvenování stejně jako klasické vyžadují následnou pracnou bioinformatickou analýzu při sestavování „přečtených“ úseků, neboť výstupem každého sekvenování není ucelená sekvence nukleotidů, nýbrž tzv. contigy, tedy krátké a různou měrou se překrývající DNA sekvence.

iScan
Prediktivní genetickou analýzu je možné chápat jako rozbor možných genetických predispozic pro celý soubor vybraných nejčastěji se vyskytujících chorob a nestandardních odlišností metabolismu u konkrétního člověka dřív, než dojde k prvním projevům. Předpovídá míru sklonu k daným nemocem neboli riziko rozvoje těchto stavů na základě jednobodových polymorfizmů pomocí microarray technologie.
Hybridizace DNAPo izolaci genetického materiálu je třeba uchytit vzorek DNA na sondy, které mikročip obsahuje, přičemž na jednom mikročipu je jich hned několik milionů najednou. Tato fáze využívá mechanismus hybridizace, kdy je DNA fragmentována, a pouze takový fragment, jehož sekvence odpovídá sekvenci dané sondy, se na tuto sondu naváže. Celý krok hybridizace je časově náročný a trvá několik dnů. Následuje fáze barvení
a promývaní.

V dalším kroku je mikročip s již hybridizovanou a značenou DNA skenován scannerem s vysokým rozlišením typu iScan. Jedná se o plně automatizovaný proces s možností opakování, pokud jsou výsledky nejednoznačné nebo neúplné. Tento scanner funguje obdobně jako jeho běžnější kancelářská varianta
s tím rozdílem, že rozlišení a přesnost jeho optiky je technologicky na zcela jiné úrovni.

Posledním krokem je pak samotná analýza získaných dat. Tento krok je s ohledem na objem dat nejzdlouhavější. Analýza je prováděna na počítači speciálním softwarem (GenomeStudio) dodávaným rovněž firmou Illumina. Data jsou tedy zpracována počítačovou technikou, avšak jejich interpretace je plně v rukou odborníka.

Data získaná čipovou analýzou jsou následně zpracována a nahrána do online uživatelského profilu. Výsledkem analýzy je zjednodušeně řečeno vyjádření zvýšeného nebo sníženého rizika k rozvoji širokého panelu nemocí. Údaje jsou interpretovány ve spolupráci s klinickým lékařem. Součástí zprávy jsou navíc praktická doporučení, jejichž dodržováním lze omezit riziko stanovené na základě analýzy. Data jsou kontinuálně doplňována o nové poznatky publikované v nejuznávanější světové odborné literatuře. Výsledky jsou podávané v českém jazyce srozumitelnou formou pro odborníka i laika.

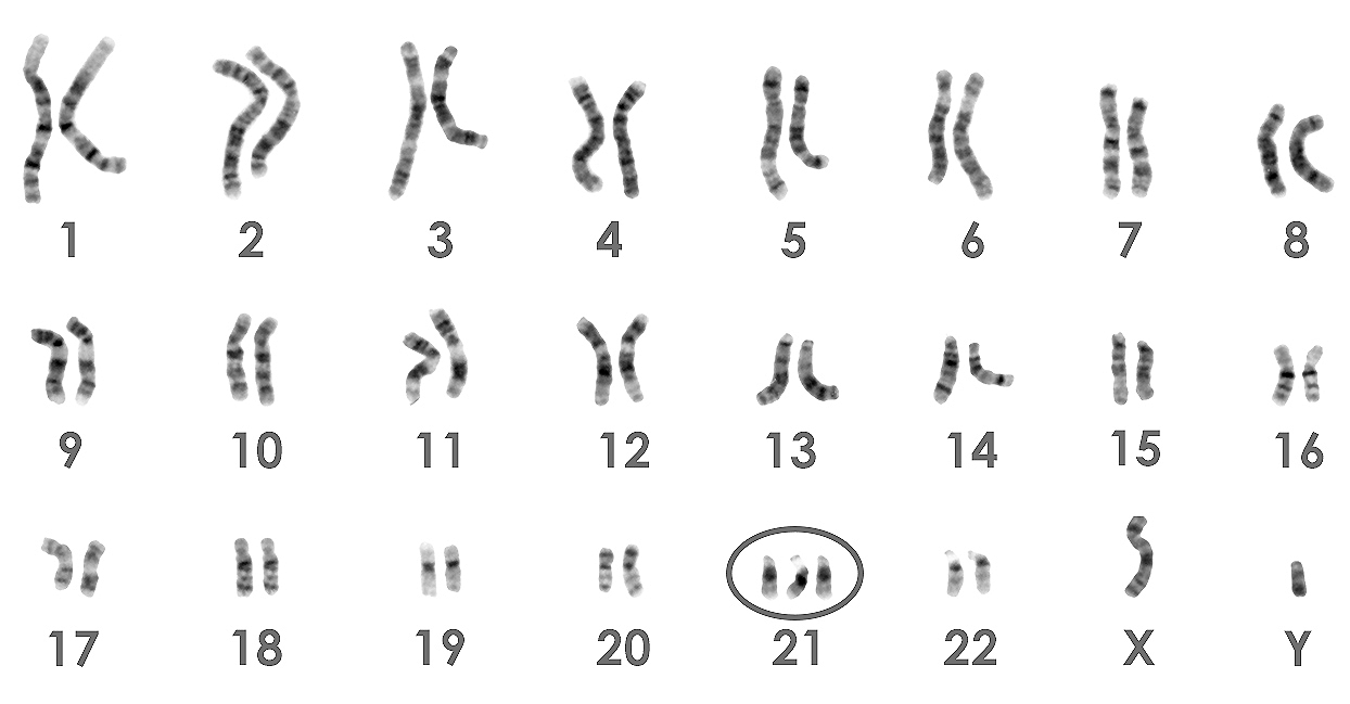
Vyšetření karyotypu
Karyotypem máme na mysli soubor všech chromozómů ukrývajících se v jádru buňky. Zatímco všechny somatické (tělní) buňky obsahují dvě sady totožných chromozómů (dohromady je jich tedy 46)
a hovoříme tím pádem o diploidních buňkách, v pohlavních buňkách najdeme sadu pouze jednu a jde
o haploidní buňky. Smyslem stanovení karyotypu u daného jedince je především detekce správného počtu chromozomů a případné vyloučení zásadních chromozomových aberací, tedy přestaveb a porušení jejich struktury. Odlišnost od správného počtu chromozomů v buňce se označuje jako aneuploidie a nalezneme ji u celé řady vážných genetických poruch (např. Downův syndrom) i v buněčných jádrech nádorových buněk, kde velmi často dochází k rozsáhlým aberacím, tedy delecím, nebo naopak duplikacím velkých částí chromozomů, a takové změny jsou pak dobře detekovatelné jak klasickými, tak moderními cytogenetickými metodami. Vždy je však třeba buňky zafixovat ve stavu tzv. mitózy, kdy jsou všechny chromozomy maximálně kondenzovány, a tím pádem nejlépe viditelné pod mikroskopem. Tato metoda je postupně nahrazována modernějšími a citlivějšími postupy.

Fluorescenční in situ hybridizace
Mezi zlaté standardy cytogenetiky patří metoda fluorescenční in situ hybridizace (FISH) využívaná právě pro vizualizaci a odlišení jednotlivých chromozómů. Jejím principem je hybridizace předem připravených fluorescenčních sond, z nichž každá se specificky váže na určitý chromozom, resp. na určitou sekvenci, která je jeho součástí. Chromozomy je pak možno mnohem snáze navzájem odlišit, a tím prakticky zamezit chybným závěrům plynoucím např. z překryvu chromozomů nebo jejich nesprávného přiřazení. V porovnání s klasickou karyotypizací jsou navíc lépe pozorovatelné i mikrodelece a mikroduplikace, stejně jako translokace částí chromozomů, které prakticky není možno bez využití hybridizačních sond detekovat a které navíc velmi znesnadňují identifikaci jednotlivých chromozomů. Metodou FISH je také možné obarvit telomery, centromery a různé inzerce.

Analýza mitochondriální DNA
Relativně malá, ale důležitá skupina genů se nachází mimo jadernou DNA v buněčných organelách zvaných mitochondrie. V buňkách se nachází stovky těchto důležitých organel, které obsahují genetický materiál kódující pouze několik genů. Většina genů potřebných pro chod mitochondrií je kódována jadernými geny. Mutace v mitochondriálních genech jsou spojeny s některými chorobami přenášenými po maternální linii, ale jsou také nástrojem genealogických studií. Jelikož jsou po oplození zachovány pouze mitochondrie vajíčka (mitochondrie spermií jsou odbourány), přenáší matka mutace v mtDNA na všechny svoje děti, zatímco otec případnou poruchu mtDNA svým dětem nepředá. Jedná se o maternální dědičnost, ale jsou popsány i extrémně vzácné případy lidí, kteří zdědily mitochondrie od obou rodičů. Mutace neboli změny mtDNA mají nejčastěji charakter jednonukleotidových polymorfizmů (SNP), kdy dochází k záměně jednoho nukleotidu za jiný (např. G za T). Pokud nejsou tyto náhodné změny opraveny reparačními mechanizmy, dochází k jejich fixaci v mtDNA, zejména v hypervariabilních oblastech (HVR1 a HVR2), a následnému přenosu na potomky. Odhad mutační rychlosti lidské mitochondriální DNA se výrazně liší podle použité metody, ale běžně se uvádí, že mitochondriální DNA mutuje 10x rychleji než lidská jaderná DNA. Jaderná DNA nahromadí přibližně 175 mutací pro celý genom za generaci (20 let). K analýze a detekci mutací mtDNA se používá DNA sekvenování a SNP analýza. Detekované mutace se srovnávají s referenční sekvencí mtDNA, která se označuje zkratkou CRS (Cambridge Reference Sequence). Je to první kompletní sekvence mtDNA, která byla publikována Andersem již v roce 1981. Na základě odchylek od CRS byly vytvořeny skupiny shodných či příbuzných motivů, které označujeme jako haploskupiny mtDNA. V současné době je používána rCRS (revised Cambridge Reference Sequence), která se od původní CRS sekvence z roku 1981 liší v 11 bazových párech. Haploskupiny mají kromě společného profilu mutací zároveň společné předky v mateřské linii, které lze orientačně datovat v čase, ale i prostoru.

Analýza Y chromozomu
Y-chromozom je nejmenším ze všech chromozomů a nese jen velmi malé množství funkčních genů, které kódují především „mužské“ znaky spojené s fertilitou (plodností) a druhotnými sexuálními znaky a funkcemi. Geneticko-genealogická analýza DNA mužských linií je zaměřena na nerekombinující část Y-chromozomu (NRY). Y-chromozom je součástí jaderné DNA, která se nalézá pouze u mužů a dědí se výhradně po paternální linii z otce na syna, podobně jako rodné příjmení. Tento systém přenosu dědičné informace vytváří nepřerušitelnou spojnici mezi generacemi a představuje tak nástroj k rekonstrukci rodinné historie, identifikaci osob či určování otcovství ve forenzní genetice. Mezi znaky chromozomu Y, které jsou nejčastěji zkoumány genealogickými a forenzními DNA laboratořemi, patří STR (Short Tandem Repeats - krátké tandemové repetice) a SNP (Single Nucleotide Polymorphism – jednonukleotidové polymorfismy) oblasti. Standardně se k analýze využívá kombinace těchto znaků. Sada získaných hodnot může být použita ke stanovení haplotypu Y chromozomu. Haplotyp tak představuje přepis informací o variabilních místech na tomto chromozomu. Haploskupinou se nazývají rodiny chromozomů Y příbuzných po rodové linii. Pomocí analýzy DNA metodami genetické genealogie můžeme zjistit zajímavé informace o mužských rodových liniích, zejména o místě jejich vzniku, ale třeba i nalézt v současné populaci příbuzné, se kterými sdílíme nejen stejné či podobné příjmení, ale i stejný nebo podobný chromozom Y. Výsledky genealogicko-genetického zkoumání najdou uplatnění i v jiných vědních oborech, jako je např. historie, archeologie, molekulární biologie nebo forenzní genetika.
RFLP
Restrikční analýza DNA je metodou charakterizace DNA pomocí jejího štěpení restrikčními endonukleázami (RE) na fragmenty. RE jsou bakteriální enzymy, které štěpí specifické sekvence. Původně měly ochrannou funkci před cizorodou DNA, dnes se využívají také v genetice k charakterizaci DNA. Existuje velké množství RE (asi 1500), jež se od sebe liší tak, že rozpoznávají různé krátké sekvence nukleotidů – 4, 6, 8 –
a štěpí DNA na různě dlouhé fragmenty. Počet i délka fragmentů je pro daného jedince specifická. Identifikace a analýza produktů štěpení se provádí elektroforetickým dělením na gelu nebo kapilární elektroforézou. Odlišení různých vzorků DNA se provádí na základě polymorfismu délky štěpných úseků. Tento polymorfismus vzniká na základě přítomnosti nebo nepřítomnosti rozpoznávacích a štěpných míst. RFLP metoda patří mezi starší metody, které se však stále využívají v praxi pro nejrůznější aplikace, jako je například nepřímá identifikace osob, studium mikrobiomu atd.
